WEB予約
アクセス
ブログ
0566-95-8123
Top
トップページ
Doctor introduction
ドクター紹介
About clinic
医院の特徴・案内
Medical information
診療案内
一般歯科
歯周病治療
小児歯科
予防歯科
矯正治療
インプラント
審美・精密治療
根管治療
入れ歯
Fee list
料金表
Recruit
採用情報
MENU
ちりゅう歯科ブログ
Blog
ちりゅう歯科ブログ
治療報告【前歯の審美治療】
2026.02.17
愛知県知立市
ちりゅう歯科です。
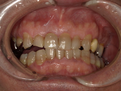
前歯の被せ物を新しくしたいとのご要望でした。
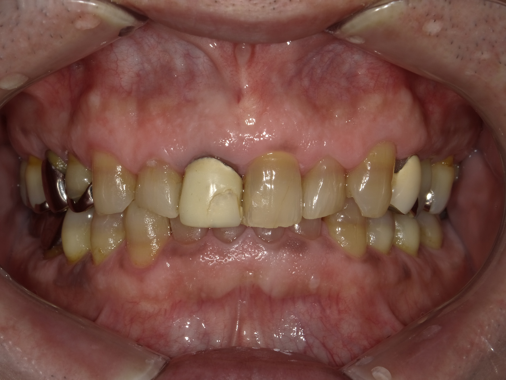
術前
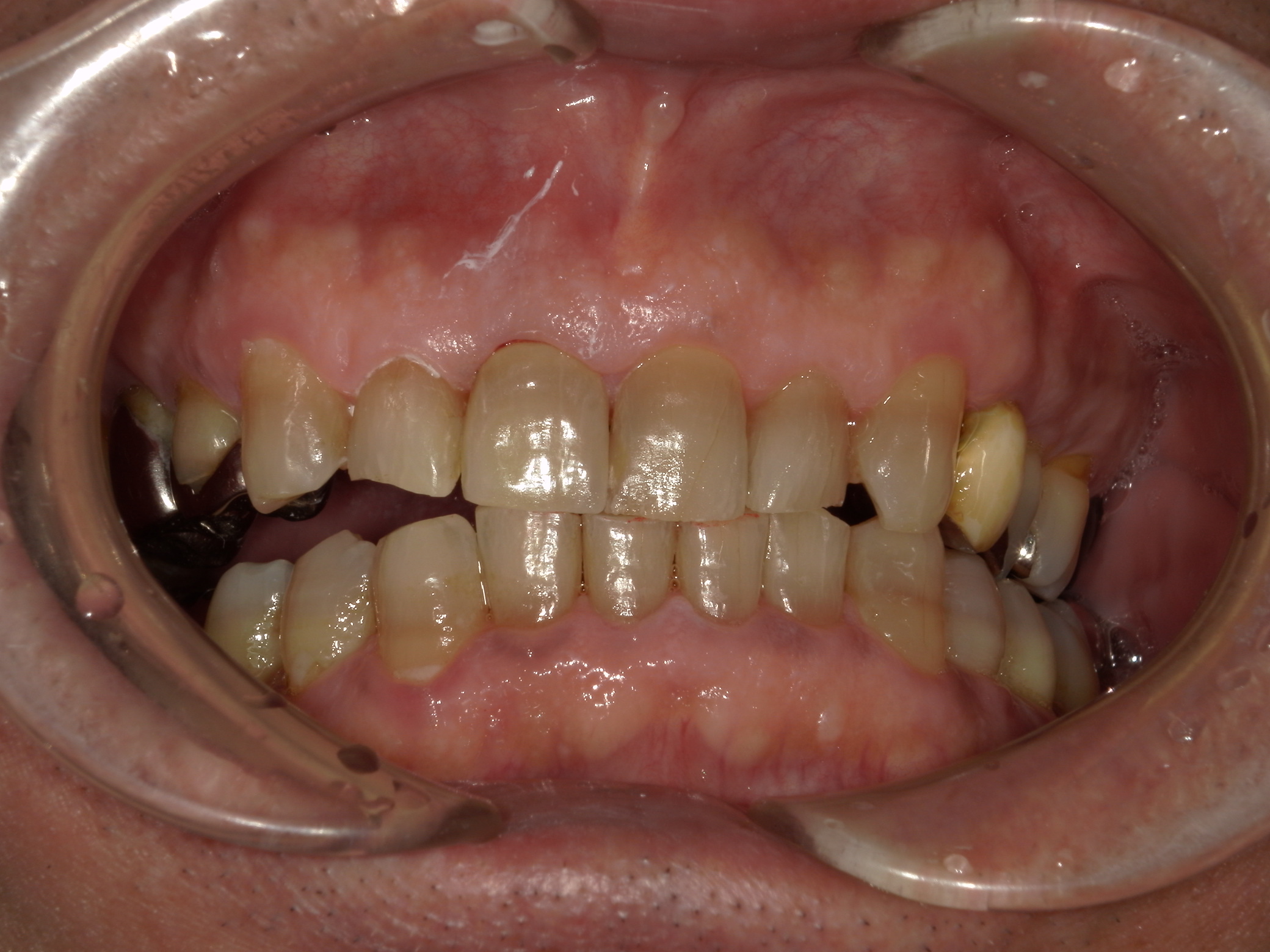
術後
本物の歯にそっくりな状態となりました。
治療回数 2回
治療費 ¥137,500(税込)
ちりゅう歯科 院長 三井誠
再植手術 >
Archive
2026年02月(1)
2025年09月(2)
2025年08月(5)
2025年07月(2)
2025年06月(3)
2025年05月(1)
2025年03月(2)
2025年02月(1)
2024年12月(2)
2024年08月(1)
2024年07月(1)
2024年05月(1)
2024年04月(1)
2024年03月(1)
2024年02月(3)
2024年01月(4)
2023年12月(2)
2023年11月(1)
2023年10月(1)
2021年07月(1)
2021年06月(1)
2020年12月(1)
2020年11月(1)
2020年10月(2)
2020年09月(1)
2020年08月(2)
TEL
WEB予約
MAP
ブログ
WEB予約
ブログ