愛知県知立市
ちりゅう歯科です。
再植により歯の周りの骨が再生したケースを報告させて頂きます。
左上の奥歯がグラグラの状態でした。
全体の歯石取り(歯周初期治療)を行いましたが、回復が見られなかったので、
再植手術をすることとしました。
一度歯を抜いて、お口の外で根っこの治療と根っこの周りの洗浄を徹底的に行い、
再生の薬や人工骨、コラーゲン剤を併用し再度植立しました。
9か月ほど経過を見て、歯の揺れがなくなったので、被せ物を装着し、治療を終えました。
今後も注意深く経過を追っていきます。
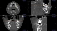
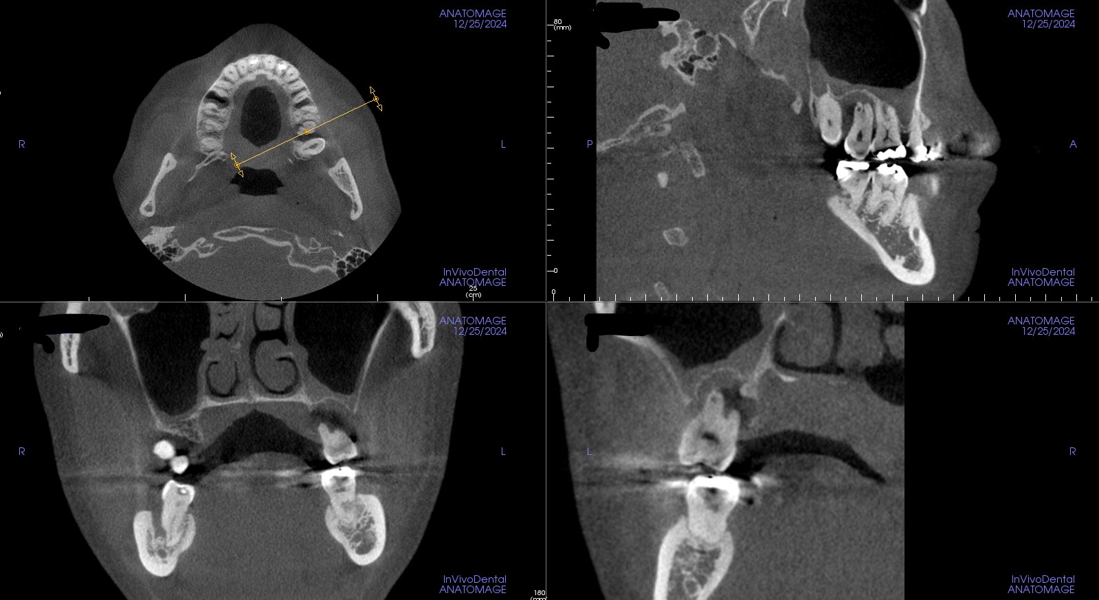
術前

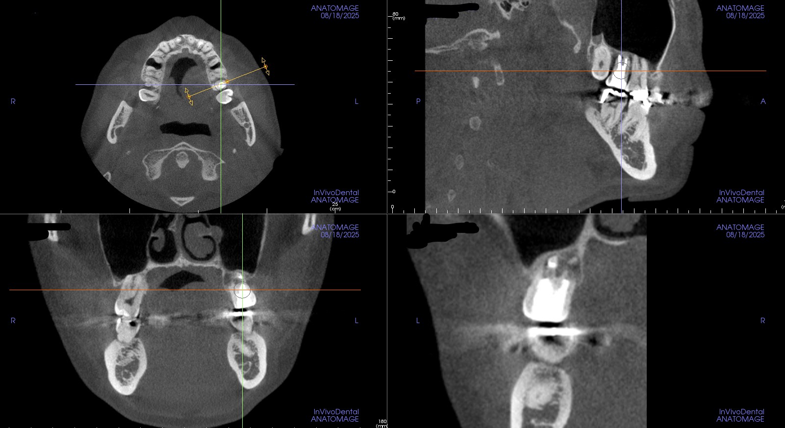
術後

歯の周りに骨が再生しています。
保険適用外
費用:¥110,000(税込)