WEB予約
アクセス
ブログ
0566-95-8123
Top
トップページ
Doctor introduction
ドクター紹介
About clinic
医院の特徴・案内
Medical information
診療案内
一般歯科
歯周病治療
小児歯科
予防歯科
矯正治療
インプラント
審美・精密治療
根管治療
入れ歯
Fee list
料金表
Recruit
採用情報
MENU
ちりゅう歯科ブログ
Blog
ちりゅう歯科ブログ
歯周組織再生療法
2025.09.20
愛知県知立市
ちりゅう歯科です。
歯周再生療法を行った方の報告をさせて頂きます。
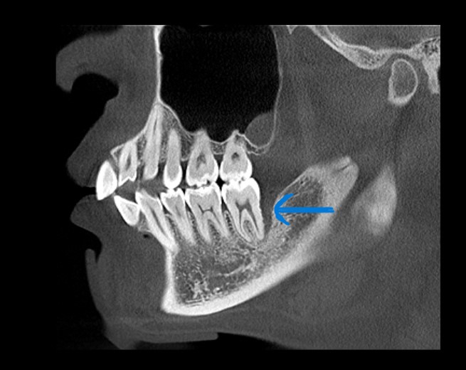
下の歯の奥側の骨が溶けてしまっています。
手術で歯ぐきを開き、徹底的に洗浄をし再生のための薬と人工骨を併用し、治療を行いました。
術前
術後
レントゲン上で根っこの先端付近まで黒く抜けている部分が白くなっています。
骨が回復している様子が見られます。
今後も慎重に経過を追っていきます。
保険適用外
費用:¥110,000(税込)
< 再植手術
治療報告 >
Archive
2026年02月(1)
2025年09月(2)
2025年08月(5)
2025年07月(2)
2025年06月(3)
2025年05月(1)
2025年03月(2)
2025年02月(1)
2024年12月(2)
2024年08月(1)
2024年07月(1)
2024年05月(1)
2024年04月(1)
2024年03月(1)
2024年02月(3)
2024年01月(4)
2023年12月(2)
2023年11月(1)
2023年10月(1)
2021年07月(1)
2021年06月(1)
2020年12月(1)
2020年11月(1)
2020年10月(2)
2020年09月(1)
2020年08月(2)
TEL
WEB予約
MAP
ブログ
WEB予約
ブログ