治療報告 歯周組織の再生療法
愛知県知立市
ちりゅう歯科です。
40代男性の左上の奥の歯の歯周組織の再生療法を行いました。
初診時に歯かなりグラグラで、抜歯になるであろうとお伝えさせていただきました。
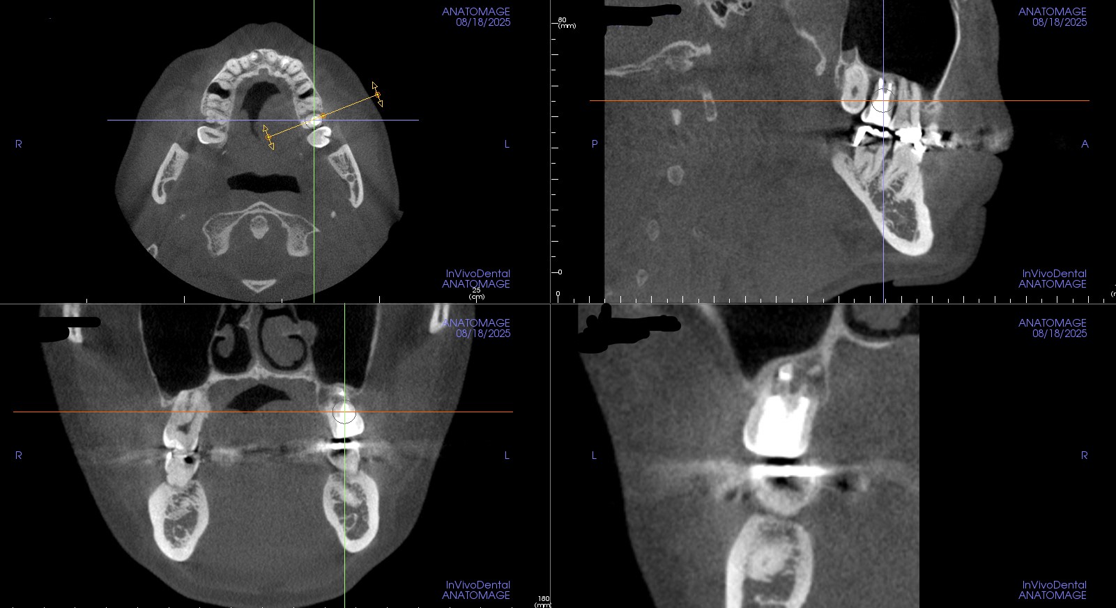
術前
右下の断層像より、歯の周囲の骨が溶け切ってしまっています。

治療内容
① 歯ぎしりから歯を守るためのマウスピースを作成
② 全体に歯周病の基本治療を行いました。
・歯磨きの訓練、実践
・歯ぐきの中の歯石取り
・かみ合わせの調整
③ 歯周組織再生療法
一度歯を抜いて、お口の外で根管治療と歯根の表面を綺麗にして
再生療法のお薬を作用させ、再植しました。
術後6か月

溶けてしまっていた骨が再生してきました。
ここから、被せ物を装着し、経過を追っていきます。
※ 再生療法は100%の成果が出るわけではありません。
条件がそろっていれば良い結果が出ますが、そうでなければ抜歯となることもあります。
上手くいかなかったときのことも考えながら、治療計画を立てます。
費用:¥110,000-
ちりゅう歯科
院長 三井誠
ちりゅう歯科です。
40代男性の左上の奥の歯の歯周組織の再生療法を行いました。
初診時に歯かなりグラグラで、抜歯になるであろうとお伝えさせていただきました。
術前
右下の断層像より、歯の周囲の骨が溶け切ってしまっています。

治療内容
① 歯ぎしりから歯を守るためのマウスピースを作成
② 全体に歯周病の基本治療を行いました。
・歯磨きの訓練、実践
・歯ぐきの中の歯石取り
・かみ合わせの調整
③ 歯周組織再生療法
一度歯を抜いて、お口の外で根管治療と歯根の表面を綺麗にして
再生療法のお薬を作用させ、再植しました。
術後6か月

溶けてしまっていた骨が再生してきました。
ここから、被せ物を装着し、経過を追っていきます。
※ 再生療法は100%の成果が出るわけではありません。
条件がそろっていれば良い結果が出ますが、そうでなければ抜歯となることもあります。
上手くいかなかったときのことも考えながら、治療計画を立てます。
費用:¥110,000-
ちりゅう歯科
院長 三井誠
