愛知県知立市
ちりゅう歯科です。
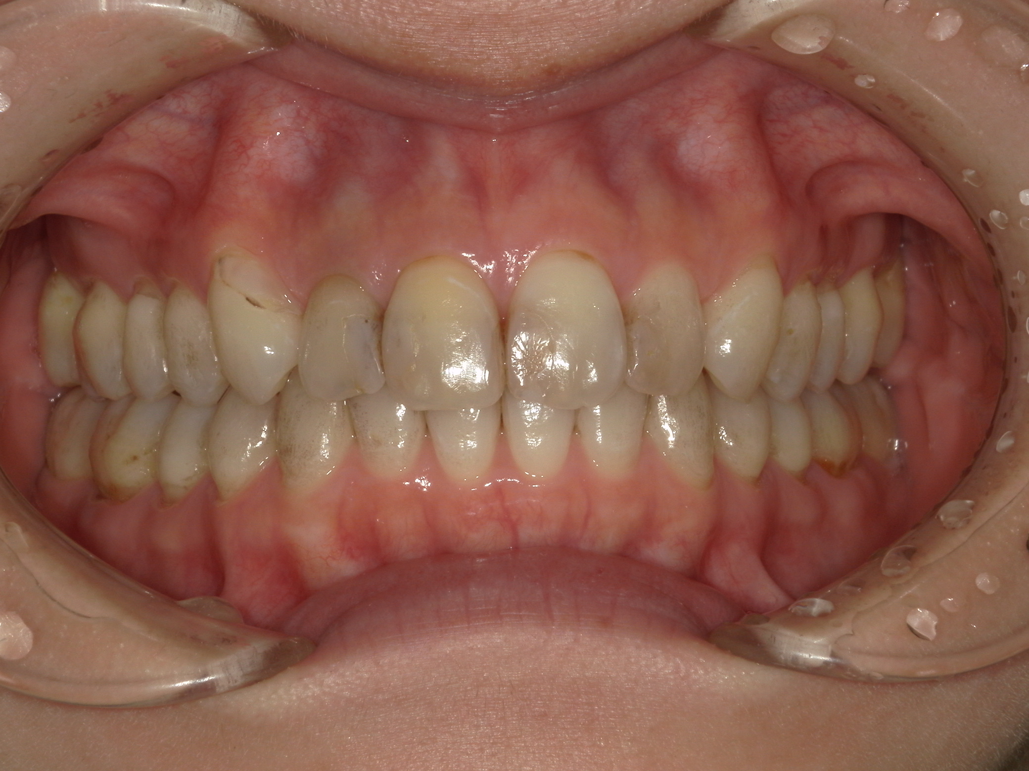
前歯を綺麗にしたいとのご要望をセラミックにて治療しました。
患者さんは30代の女性です。
過去に樹脂にて虫歯を治療した形跡が多々あったため、
詰め物よりも被せ物での治療を提案させていただきました。
そのうえで、見た目も綺麗にしたいとことで
セラミックでの治療を希望されました。
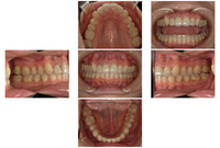
術前


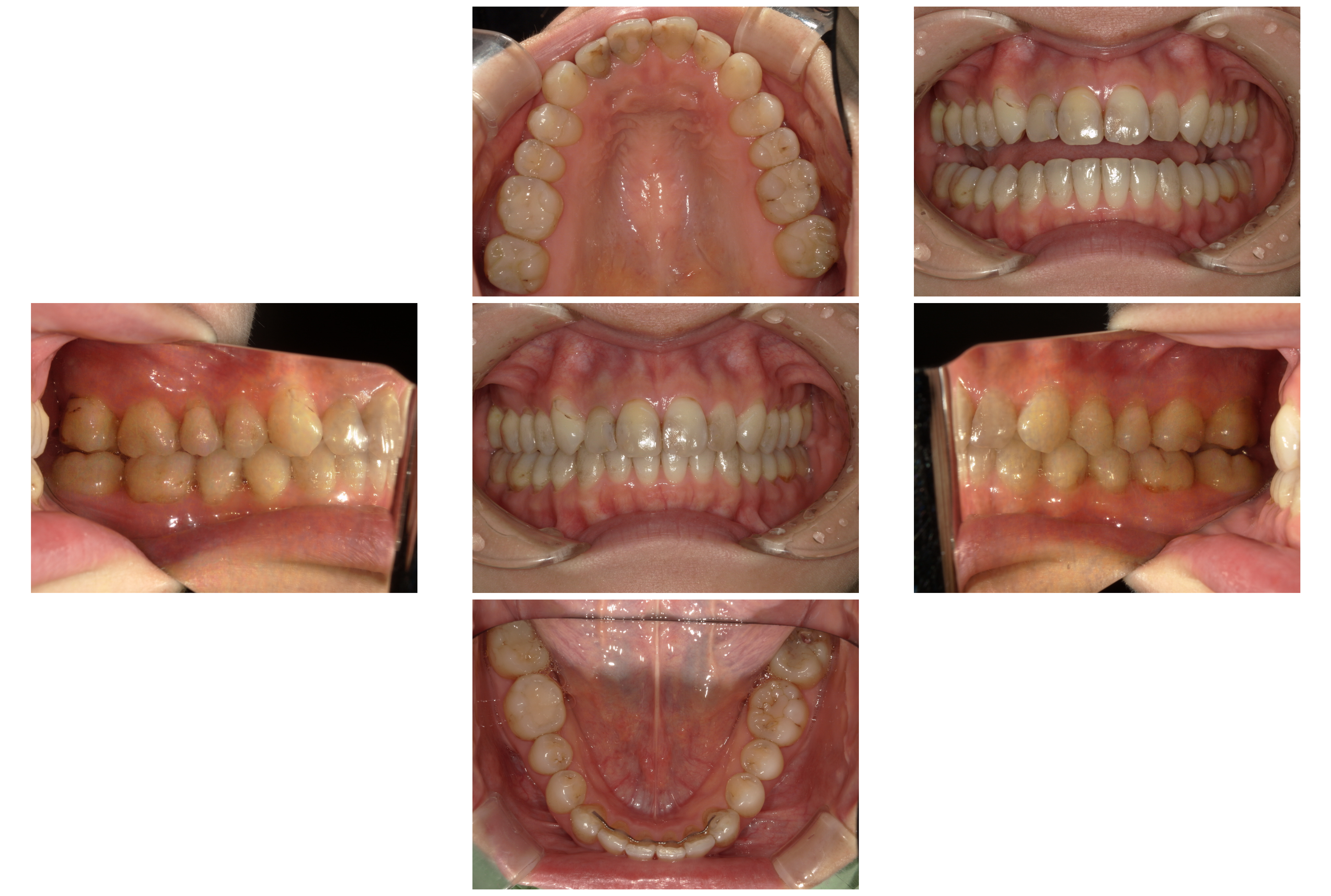
術後


歯周治療、クリーニングもしっかり行い
良好な経過となっております。
前歯の費用:¥550,000-(税込) セラミック4本
歯周治療・クリーニング:保険適用
ちりゅう歯科
院長 三井誠