愛知県知立市
ちりゅう歯科です。
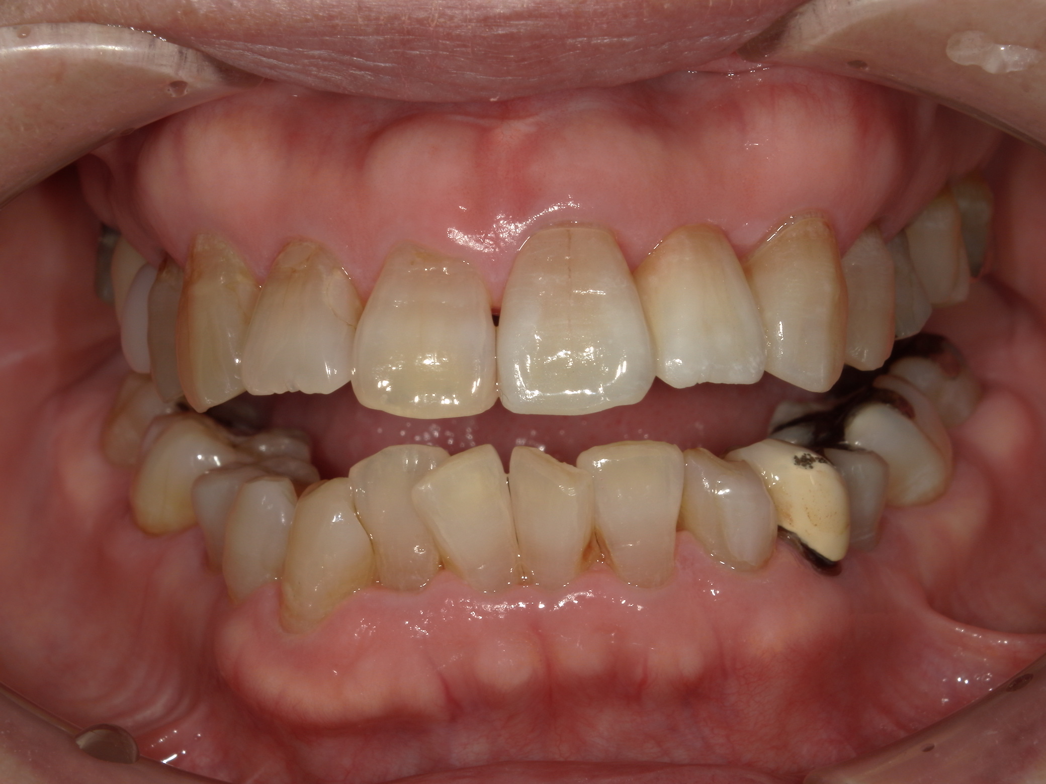
前歯の欠損部をセラミックのブリッジで修復しました。
患者さんは70代の女性です。
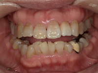
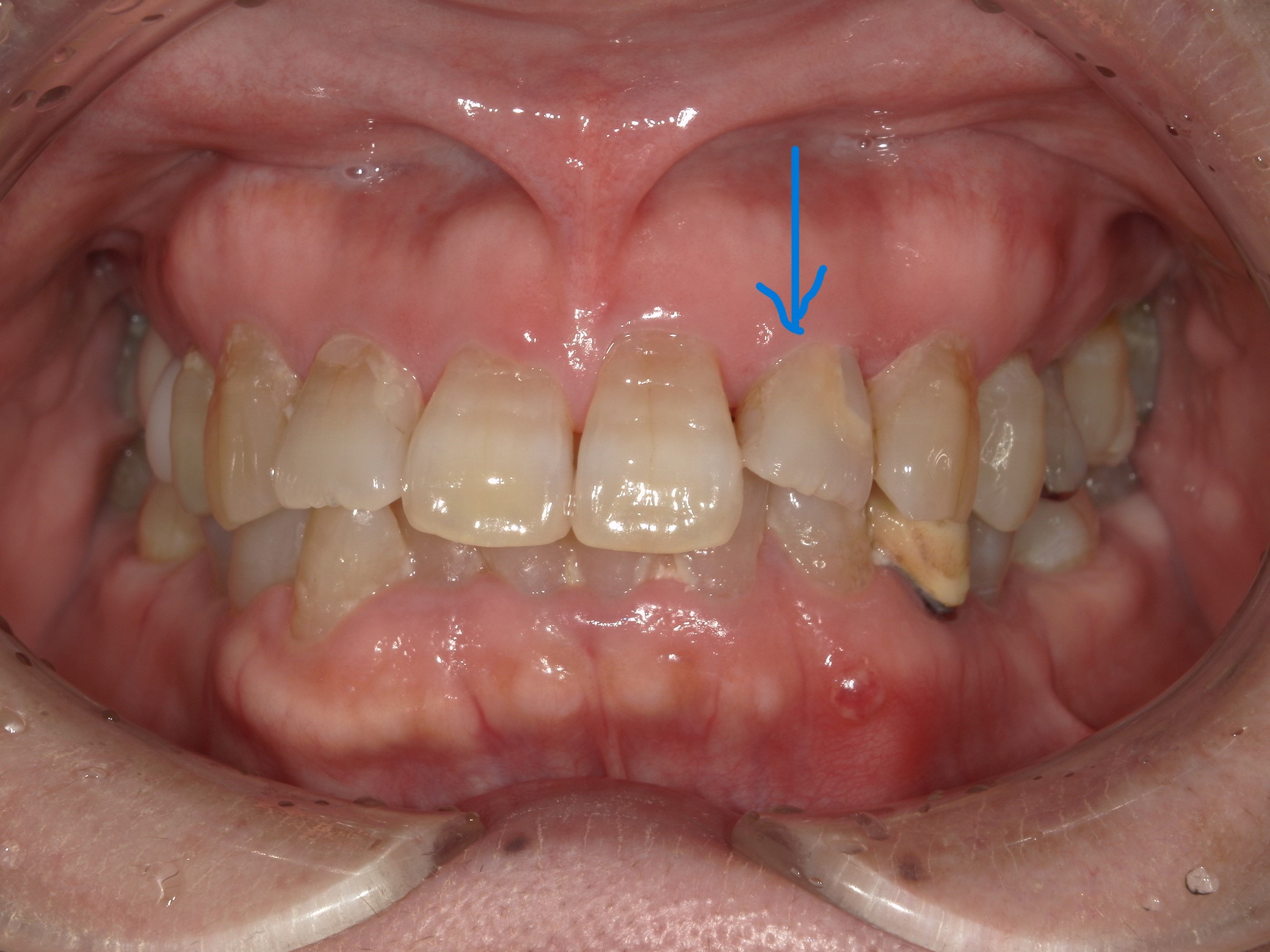
左上の2番目の歯が破折により抜歯の診断となってしまいました。
ブリッジでの治療を選択されました。
術前
矢印の歯が抜歯の診断

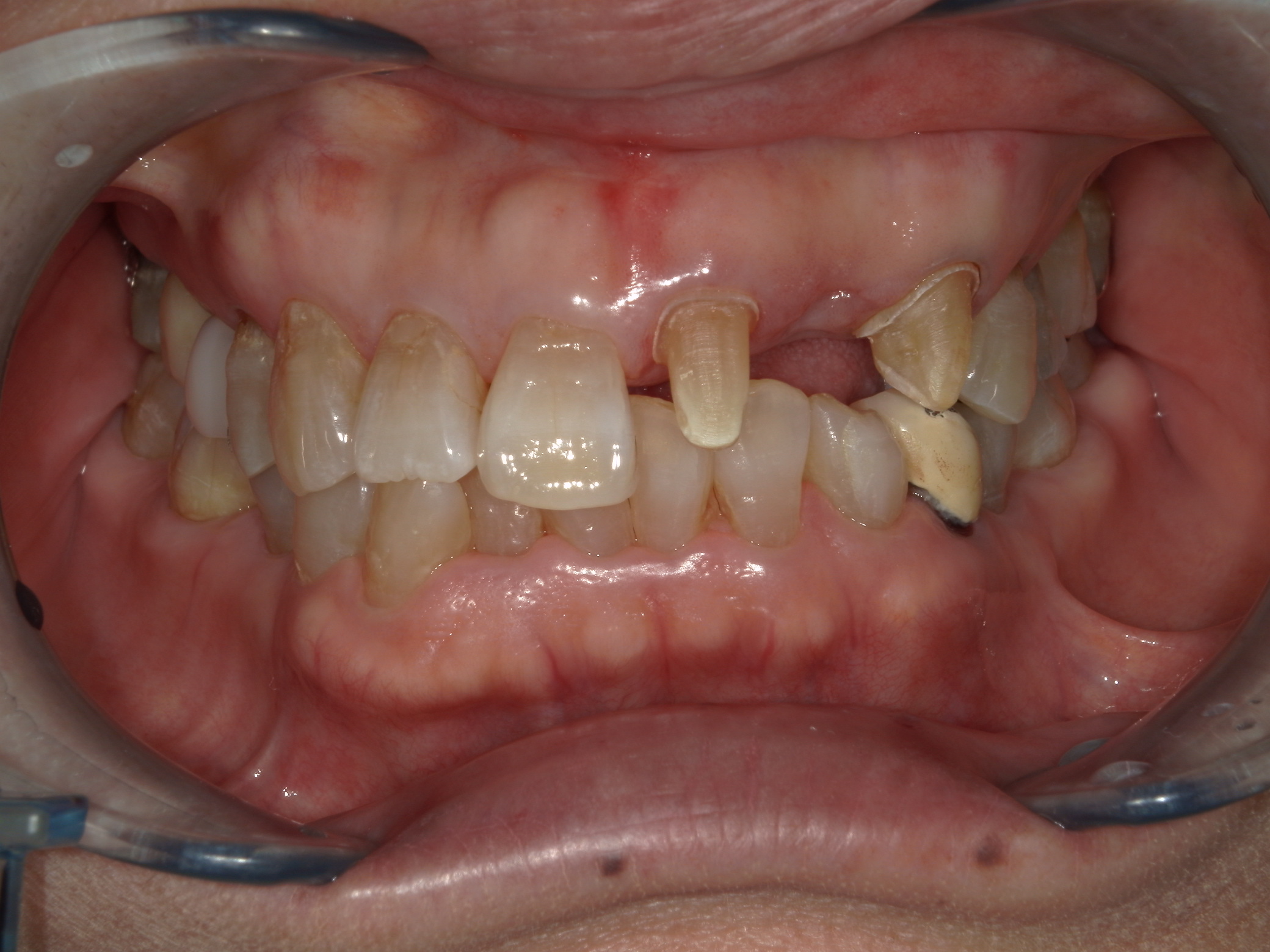
抜歯後
ブリッジの型どりの際の写真
ブリッジを行うには、両隣の歯を削って小さくします。

術後
できるだけ、周囲の歯と同じになるように、歯のヒビや着色なども再現してもらいました。

費用:¥412,500-(税込) ジルコニアクラウン3本分
ちりゅう歯科
院長 三井誠