愛知県知立市
ちりゅう歯科です。
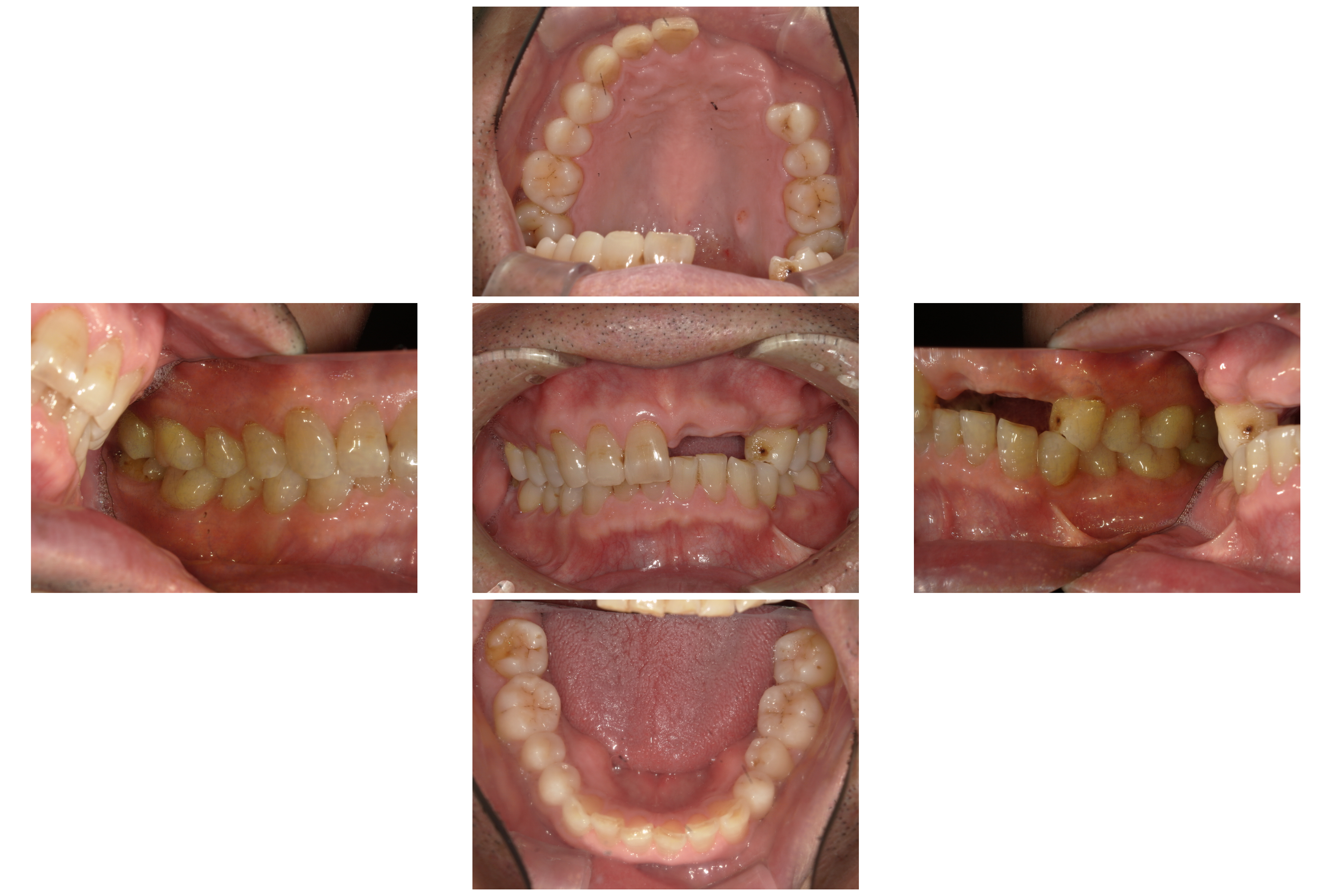
前歯を喪失してしまい、インプラント治療を行った症例を提示させて頂きます。
患者さんは60代の男性です。
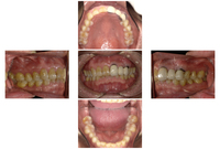
左上の2番目の歯を過去に喪失し、ブリッジで修復されていた部分の土台の歯が悪くなってしまいました。
受診時にはグラグラしており、歯が破折していたため抜歯の判断をしました。
術前


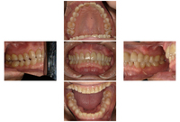
抜歯後

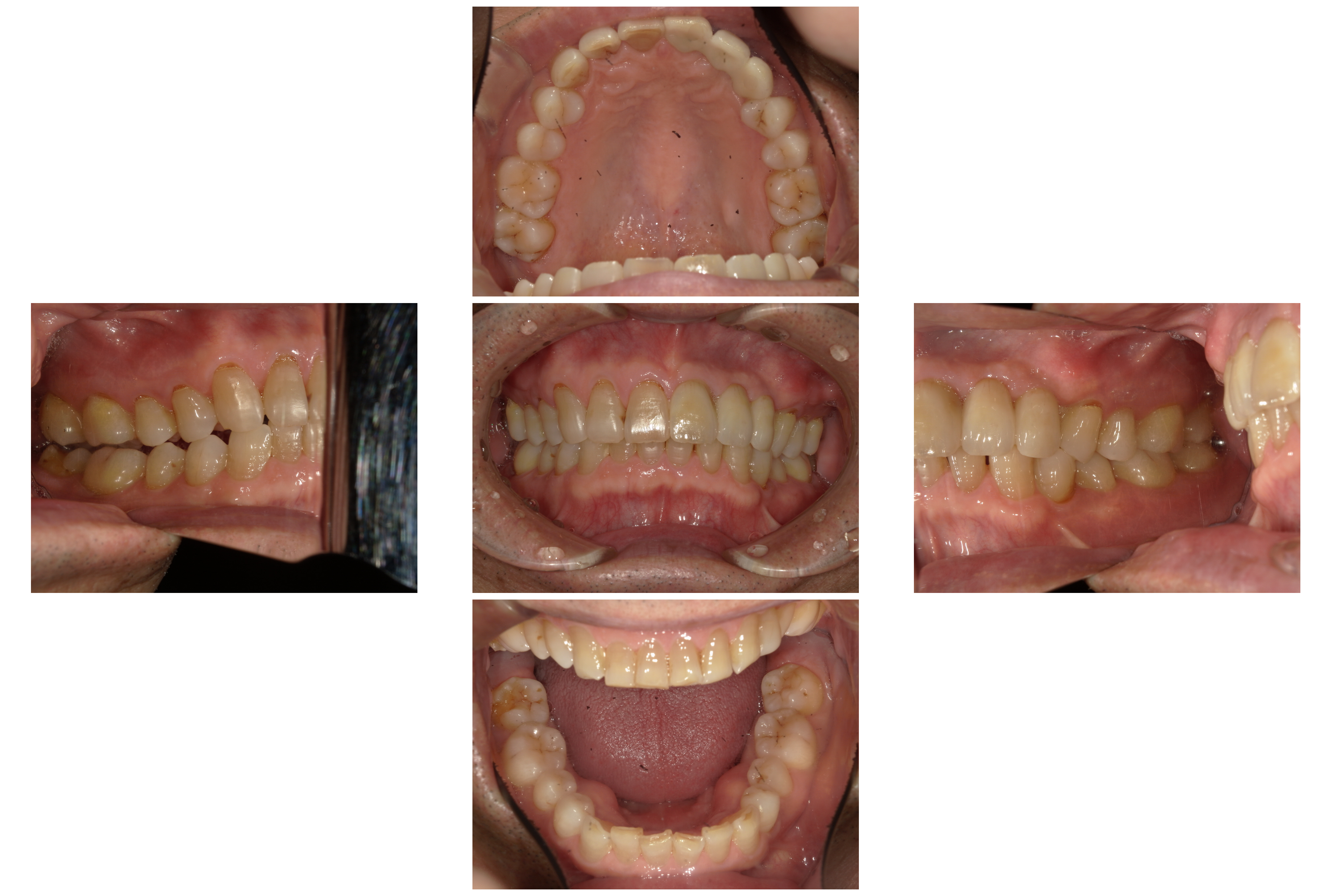
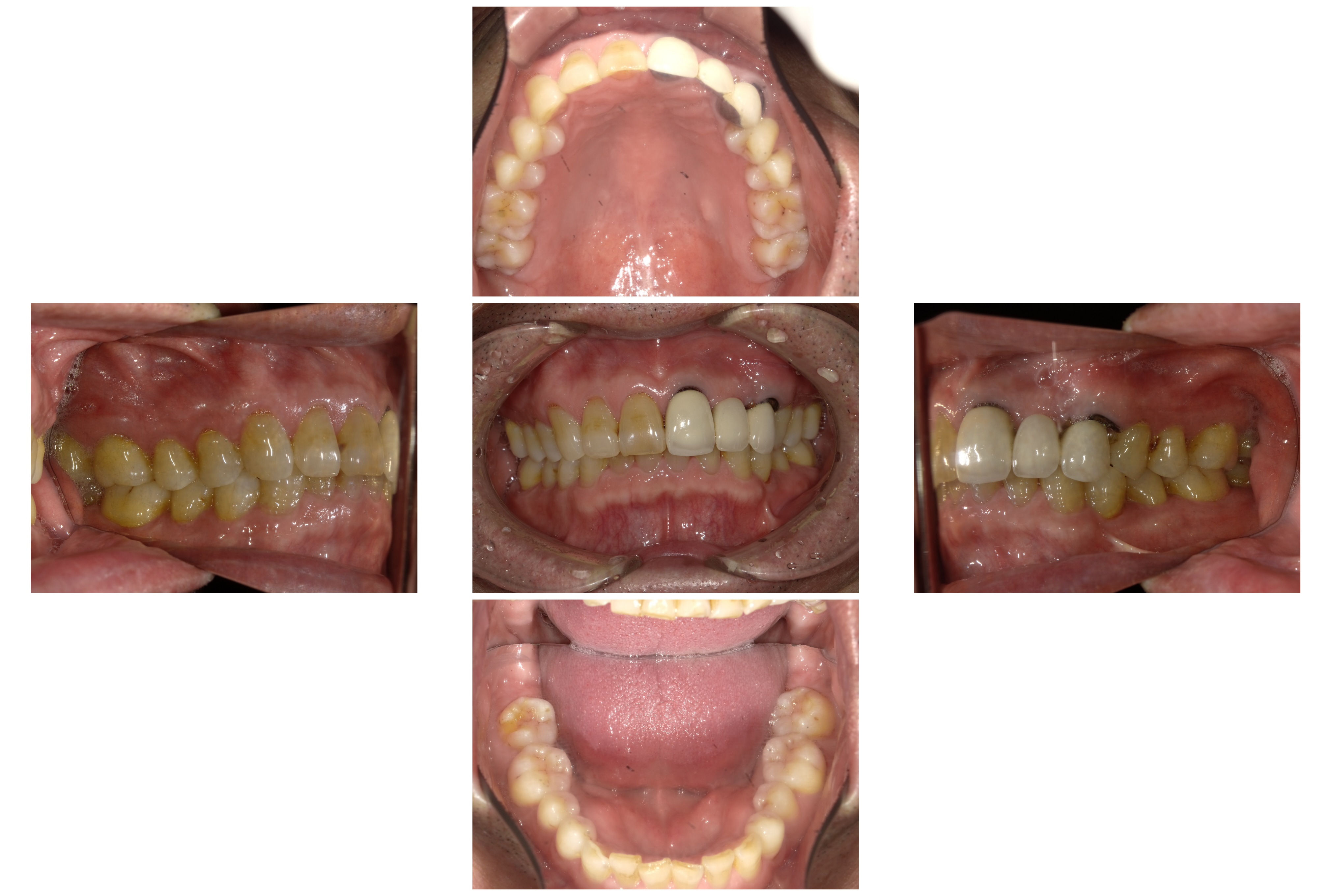
最終的にインプラント治療を希望され、施術させて頂きました。
術後


インプラント治療期間:約4か月
費用:¥1,177,000-(税込)
インプラント体 2本
インプラント上部構造物(セラミックブリッジ)
インプラントの仮歯
ちりゅう歯科
院長 三井誠