歯ve a Nice Day
歯を健康に保ち、いつも良い一日へ
ちりゅう歯科医院のコンセプトである「歯ve a nice day」。この言葉には、歯を健康に保ち、いつも良い一日へ、という私たちの想いが込められています。全ての治療が予防へと結びつく「総合的な歯科診療」で、患者様の歯をお守りします。
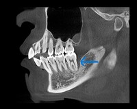
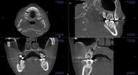
歯科治療の恐ろしさは、少しでも手を抜くと、積み重ねてきた治療効果が全て0=ゼロになってしまうことです。当院では一つ一つの治療過程にベストを尽くすべく、開業当初よりマイクロスコープ、セファロ分析や口腔内スキャンなど最新の機材を取り揃えて、幅広く、深い治療を追求してきました。
これからも「ちりゅう歯科にいけば大丈夫!」と信頼し続けていただけるよう、困ったことがあれば、どんなことでも対応します。当院の治療のゴールは「不自由なく噛めて、見た目にもコンプレックスがない状態」。その目標に向かって、一回一回が真剣勝負の思いで診療に携わり、地域にお住まいの方々のお口の健康をサポートいたします。
歯を長持ちさせる診療を
歯科医師として地元の皆さまに医療貢献がしたいと、高校時代を過ごしたここ知立で、2019年5月に開院し、今後の長きにわたって、患者さまのお気持ちに親身に寄り添った治療を行っていきたいと考えています。
私はこれまでの歯科医師人生で、虫歯や歯周病、歯の根にある神経の処置である根管治療、入れ歯、インプラント、美容診療など、幅広く取り組んでまいりました。例えば虫歯治療では、痛みのある歯だけでなく、噛み合わせなどお口の中を総合的に考えたアドバイスや立案をし、歯を長持ちさせる処置を提供することを心がけています。
沢山の患者様のニーズにお応えできるようスタッフ一同、診療体制を整えて皆様をお迎えいたします。長く通える「かかりつけの歯医者」を探している方は、ぜひご相談ください。